Two Cases of Pulmonary TB treated with Homeopathy(Published) |
|
| Case 1
Mrs S Initial consultation 23 January 1996 A 21 year-old woman
presented, she had been receiving Anti Tubercular Treatment (ATT) for
nearly 6 months. This was a known case of Multi Drug Resistant
Tuberculosis (MDR TB).She belonged to a poor family. She had married
just 1 year before. Her family showed her affection but she remained
dissatisfied. At the time of her marriage one-year previously she was
well. A few months later amenorrhoea occurred without pregnancy. Two
months after this episode her old pulmonary TB reactivated. At this
time she was diagnosed as a case of MDR TB (resistant to Rifmapicin and
Isoniazid) on the basis of culture and sensitivity of sputum. She was
prescribed second line ATT (Kanamycin, Cycloserine, Pyrazinamide,
Isoniazid and Ciprofloxacin).She came to me after having taken ATT for
nearly 6 months - the sputum direct smear was highly positive for
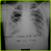
Mycobacterium tuberculosis and the chest x-ray showed a large cavity in
right upperlung field and fibroinfiltrative lesions in the left lung
field(Figure 1) She was suffering from fever, cough, chest pain and
loss of appetite.Choice of remedy and potency considered the whole
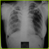
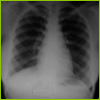
picture including her mentals, particularly the following: discontented; irritability consolation lie down, inclination to; desires sweets; aversion to meat; nausea thoughts of food; violent dry cough morning and evening; dyspnoea walking and coughwith; vomiting,coughing; chest emptiness cough during; chest pain<cough; cough dry; bathing, dread of; sweats profusely on coughing; secondary amenorrhoea. I prescribed Sepia (Sep) 30c one dose on the day of consultation. |
|
| Second visit:
She was quite happy with the positive effects of Sepia and had stopped
ATT. Third visit 20 February 1996: Feeling unwell for the last two
days. Sepia 30c one dose repeated. Fourth visit 2 March 1996:
Expectorating copious bad smelling, dirty coloured sputumfor 3 days -
no medicine. Fifth visit 14 March 1996: She complained mental dullness.
She did not want to do any thing, a sort of indifference to every
thing. Sepia 30c one dose. Sixth visit 8 April 1996: She complained
that her skin seemed as if burnt by the sun perspiration. I repeated
Sepia 30c one dose. 22 April 1996: She came with a relapse of dyspnoea, the skin trouble was better. This time Sepia 30c was ineffective. I then gave her Sepia 200c but without a good effect. I reviewed and re-repertorised the case and found Sulphur was the most similar to the whole case. Sulphur 30c one dose was sufficient to keep the patient in comfort. Eighth visit 16 May 1996. Sudden onset of severe pain on the left side of chest. The sputum was still positive for M. tuberculosis but they were less numerous. Sulphur again fitted the picture, Sulphur 30c one dose ameliorated the chest pain. Chest x-ray showed improvement Ninth visit 7 August 1996. She had been improving till two days before when she experienced an increase in cough and dyspnoea I re-reportorised the case and I found Sepia was the drug of choice again. She felt better after 200c. |
|
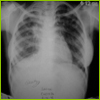
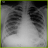
| October 1996: Menses resumed. She gained 3 kg weight. Three consecutive sputum reports were negative for M. tuberculosis.6 December 1996: She came with symptoms of pregnancy. Chest X-rays showed further improvement, sputum reports were negative for M. tuberculosis. About this time another doctor convinced her to discontinue the homeopathic treatment for the sake of her baby. She resumed ATT inspite of the good response to homeopathic treatment. October 1997: After having taken ATT for nearly seven months and after having a normal delivery, she presented with fever, not relieved by ATT otherwise she seemed well. Sputum was still negative for M tuberculosis but the chest x-ray showed some fibrosis in the leftlung. I prescribed Sepia 200c one does for her fever problem and it was again effective.A repeat chest x-ray in May 1998, 30 months after the initial consultation showed some fibrosis in the left upper zone, suggesting inactive TB but was otherwise normal.. |
|
| Case 2 Mrs N Initial consultation 6 June 1991
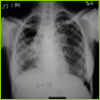
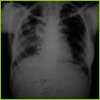
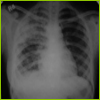
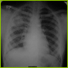
A 24 years woman presented, complaining of right-sided chest pain, fever, cough with expectorationand loss of appetite for 2 months. She had taken ATT without any response. Then she stopped ATT and all other medicines. Now she displayed hopelessness and indifference with fear of death superimposed on her personality. The hopelessness was so great that she refused to take any treatment. She seemed indifferent to every thing though she was very affectionate to her mother. Shewept throughout the consultation regarding her family life. She became suddenly agitated but immediately resumed weeping. She seemed somewhat to improve when I consoled her.Pulmonary Tuberculosis was confirmed by the chest x-ray. Direct smear examination of the sputum was highly positive for M. tuberculosis.Pulsatilla (Puls) 30c was prescribed on the basis of following rubrics and symptoms - ailments from grief; discouraged easily; hopelessness (despair of social position) company aversion to; weeping mood; indifference to everything; fear of death; menses irregular; thirstless; desires open air; aversions to fruit and drinks; likes bathing but feels chilly; cough rattling; cough loose morning, evening and night and <lying on; chest pain cough during; respiration difficult lying while; expectoration – viscid and nauseous; menses late. Next day: she seemed happier and was not resisting treatment. She felt surprisingly better in fever, cough and chest pain. Puls 30c three times a day was given. 14 July 1991: 37 days after starting treatment. No fever, no chest pain, improved appetite, mild cough remained with little expectoration. Puls 30 repeated again. Chest x-ray shown in , sputum was still positive for M Tuberculosis.10 August 1991: Clinically she seemed almost normal. Three consecutive sputum reports were negative for M. tuberculosis. Sac lac only. 8 September 1991: Menses now were regular and normal. Seemed as happy as ever before the illness. X-ray shown in A further three sputum reports were negative for M. tuberculosis again. No medicine.27 December 1995: (4 years after finishing treatment). Came for routine check-up. Seemed quite healthy. Had two children since last seen. She had not been suffering from any sort of health problem for last 4 years. Chest x-ray normal. |
|
Discussion :Pulmonary tuberculosis lesions usually heal by fibrosis and/or calcification. But these two cases did not follow this rule. In the first case, a large cavity on the right side of the lung field healed without fibrosis while on homeopathic treatment alone. In Case Two, the sputum became negative for M. Tuberculosis after having taken homeopathic treatment for 3 months. The right-sided tubercular lesion healed without fibrosis within 3 months and follow-up x-ray after more than 4 years confirmed this. In both cases there is a clear radiological and microbiological evidence of improvement coinciding with homeopathic treatment.Conclusion :TB, and in particular MDR TB is a growing threat. 1.7 million people die, worldwide, annually from TB. In many parts of the world, particularly south and east Asia many sufferers do not have access toadequate treatment. Even in developed countries MDR TB remains a threat - in 1991 an outbreak in New York City killed over 500 people. The World Health Organisation had declared an emergency andrecommends Directly Observed Treatment (DOTS), but the impact has been disappointing. In India there has been little change in the epidemiology of TB since 1956.Strong reservations about the homeopathic treatment of TB are expressed in the literature. For instance, Kent stated in his lecture on Calcara ostrearum (Calc carb), that homeopathy cannot cureconsumption (pulmonary TB) and advised his pupils to be wary of anyone who claimed to cure it. I have presented 2 cases of confirmed pulmonary TB with well-documented evidence of improvement with homeopathic treatment. |
|












